前歯の治療 審美歯科治療
白くて綺麗な歯には誰もが憧れます。
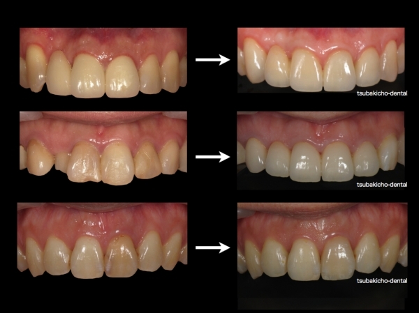
審美歯科とよばれる治療によって綺麗な歯になることで
自信のある笑顔を獲得することも可能でしょう。
しかしながら、無計画に歯を削って被せてしまうだけでは
歯ぐきの色が黒ずんでしまったり、不自然な白さの歯になってしまったりと
せっかくの治療もうまくいってない方をよくお見受けします。
審美歯科治療で最も難しいことは、
どの歯を治療したのかわからないように治療することです。
歯の色だけでなく、
歯の形や歯ぐきの具合もきっちりと仕上げる必要があるからです。
調和のとれた本当に綺麗な白い歯を手に入れませんか?
*写真は全て当院での治療例です。
こちらもどうぞ
▼予約はこちら
TEL 052-452-4618
メールでのお問い合わせはこちら
▼アクセス
〒453-0015
愛知県名古屋市中村区椿町18-22 ロータスビル3F
※あおなみ線、名古屋駅 新幹線口を出て徒歩約5分
詳細マップはこちら>>
審美歯科とよばれる治療によって綺麗な歯になることで
自信のある笑顔を獲得することも可能でしょう。
しかしながら、無計画に歯を削って被せてしまうだけでは
歯ぐきの色が黒ずんでしまったり、不自然な白さの歯になってしまったりと
せっかくの治療もうまくいってない方をよくお見受けします。
審美歯科治療で最も難しいことは、
どの歯を治療したのかわからないように治療することです。
歯の色だけでなく、
歯の形や歯ぐきの具合もきっちりと仕上げる必要があるからです。
調和のとれた本当に綺麗な白い歯を手に入れませんか?
*写真は全て当院での治療例です。
こちらもどうぞ
▼予約はこちら
TEL 052-452-4618
メールでのお問い合わせはこちら
▼アクセス
〒453-0015
愛知県名古屋市中村区椿町18-22 ロータスビル3F
※あおなみ線、名古屋駅 新幹線口を出て徒歩約5分
詳細マップはこちら>>




